Berikut adalah fakta penting tentang hiperplasia endometrium yang wanita perlu tahu:

endometrial hyperplasia
1. Apa Itu Hiperplasia Endometrium?
Ia merujuk kepada penebalan luarbiasa endometrium iaitu lapisan dalam rahim. Berlaku apabila terdapat ketidakseimbangan antara hormon estrogen dan progesteron, dengan rangsangan estrogen yang berlebihan tanpa pengaruh progesteron.
2. Jenis-Jenis Hiperplasia Endometrium
EH dikelaskan sebagai “tanpa atipia” atau “dengan atipia” (hiperplasia endometrium atipikal atau EIN), yang menentukan potensi perkembangannya kepada karsinoma endometrium (Gokula, 2021).
3. Punca dan Faktor Risiko
- Ketidakseimbangan hormon (contohnya, tahap estrogen tinggi tanpa progesteron mencukupi).
- Sindrom ovari polisistik (PCOS).
- Obesiti (tisu lemak berlebihan meningkatkan tahap estrogen).
- Terapi penggantian hormon (HRT) tanpa progesteron.
- Penggunaan tamoxifen jangka panjang.
- Tidak pernah hamil (nullipariti).
- Diabetes atau hipertensi.
- Menstruasi awal (menarche) atau menopos lewat.
4. Gejala yang Perlu Diperhatikan
- Pendarahan haid yang tidak teratur atau banyak.
- Pendarahan selepas menopos (ini perlu jumpa doktor dengan segera).
- Pendarahan kecil di antara haid.
- Tempoh haid yang berpanjangan lebih daripada 2 minggu.
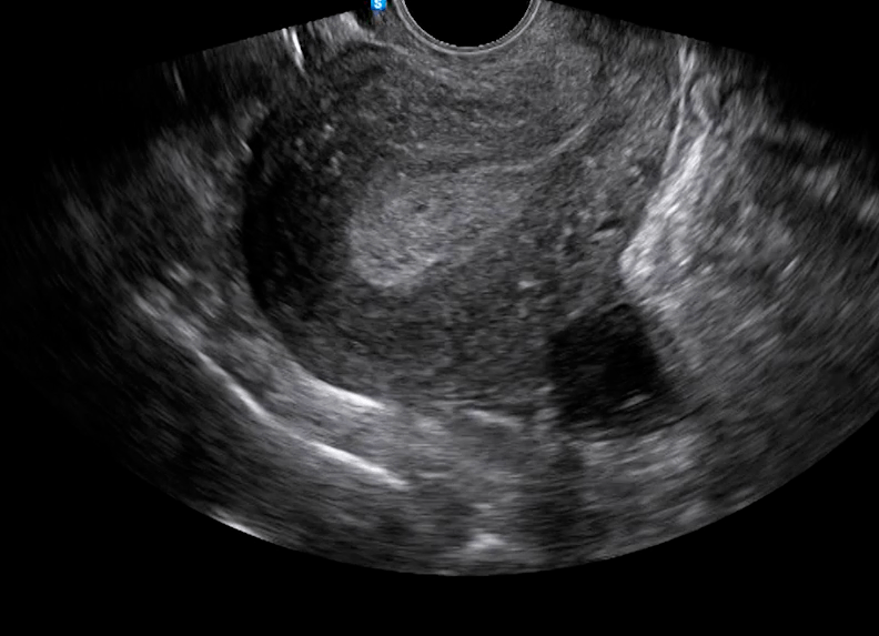
5. Cara Diagnosis
- Ultrasound Transvaginal: Mengukur ketebalan endometrium.
- Biopsi Endometrium: Menentukan sama ada terdapat sel yang tidak normal atau prakanker.
- Histeroskopi: Pemeriksaan visual lapisan rahim, sering digabungkan dengan biopsi.
6. Komplikasi yang boleh terjadi
- Risiko Kanser Endometrium: Terutama dengan hiperplasia atipikal.
- Anemia: Disebabkan oleh pendarahan yang berat atau berpanjangan.
- Ketidaksuburan: Bagi wanita pra-menopos, terutamanya jika disebabkan oleh PCOS atau gangguan hormon lain.
7. Pilihan Rawatan
- Terapi Hormon- Progesteron (oral, suntikan, atau alat intrauterine seperti Mirena) untuk mengimbangi estrogen dan menipiskan endometrium.
- Dilation and Curettage (D&C): Untuk membuang tisu berlebihan.
- Pembedahan: Histerektomi mungkin disarankan dalam kes yang teruk, terutamanya bagi wanita sidsh menopos atau mereka dengan hiperplasia atipikal.
8. Pencegahan
- Kekalkan berat badan yang sihat untuk mengimbangi hormon.
- Gunakan pil perancang gabungan (mengandungi estrogen dan progesteron) jika memerlukan kontrasepsi.
- Kawal keadaan seperti PCOS, diabetes, atau hipertensi.
- Pemeriksaan berkala, terutamanya bagi wanita dengan faktor risiko.
9. Bila Perlu Mendapatkan Rawatan Perubatan
- Sebarang pendarahan yang tidak normal, terutamanya pendarahan selepas menopos.
- Kitaran haid tidak teratur yang berlanjutan lebih daripada beberapa kitaran.
- Sakit pelvis baharu atau yang semakin teruk berkaitan dengan pendarahan.
10. Prognosis
- Hiperplasia ringkas tanpa atipia selalunya pulih dengan rawatan hormon.
- Hiperplasia dengan atipia mempunyai risiko lebih tinggi untuk menjadi kanser jika tidak dirawat, tetapi pengesanan awal dan rawatan yang sesuai dapat meningkatkan peluang sembuh.

Tinggalkan komen